Cel mai citit
- Cel mai citit si interactiv site de stomatologie din Romania.
- Peste 20.000 comentarii.
- Peste 300 articole.
- Peste 25.000 vizualizari lunar.
Articole recente

Hormonii, menopauza si zambetul care se schimba odata cu varsta
Corpul uman nu îmbătrânește brusc, ci prin schimbări lente, invizibile, care încep mult înainte să le simțim. Dintre toate aceste schimbări, cele hormonale sunt printre cele mai profunde. Pentru femei, menopauza este o etapă naturală, dar din punct de vedere medical, ea nu este doar o transformare endocrină — este o transformare sistemică. Gura, la
Hormonii, menopauza si zambetul care se schimba odata cu varsta
Corpul uman nu îmbătrânește brusc, ci prin schimbări lente, invizibile, care încep mult înainte să
Dintele care lipseste nu lipseste doar din zambet
Un dinte lipsă pare o problemă minoră, locală. Dar nu este. Lipsa unui singur dinte
Parodontita – inflamația care scurtează viața
Unii oameni cred că boala parodontală înseamnă doar sângerări gingivale sau pierderea dinților. Acesta este
Materia vie – ce pui în gură, rămâne în corp
În stomatologie, nimic nu rămâne local. Tot ce introducem în cavitatea orală – fie un
Recomandate
Cele mai accesate
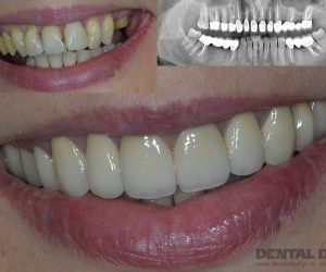
Galerie Foto
Pentru ca o imagine valoreaza 1000 de cuvinte, aici poti “citi” o parte importanta din povestea mea, a pacientilor si a clinicii Dental Design Timisoara.
Cazuri

Cat costa dantura fixa pe implanturi dentare?
Nu cred ca exista postare cu cazurile mele despre dinti ficsi pe implanturi dentare care sa nu genereze intrebarea (uneori soptita cu timiditate, alteori urlata cu majuscule intr-un comentariu pe Facebook): “Cat costa?” Cateodata urmeaza si remarca cu iz de cunoscator fin: “In Turcia e mai ieftin si iti da si cazare, si transport!” Ma intreb si eu, oare asa

Cat costa dantura fixa pe implanturi dentare?
Nu cred ca exista postare cu cazurile mele despre dinti ficsi pe implanturi dentare care sa nu genereze intrebarea (uneori soptita cu timiditate, alteori urlata cu majuscule intr-un comentariu pe Facebook): “Cat costa?” Cateodata urmeaza si remarca

Cat costa si cat dureaza implanturile dentare?
In acest articol vreau sa raspund sutelor de mesaje pe care le primim mereu la clinica sau in social media. De multe ori, cazurile spectaculoase pe care le prezint (vezi profilul meu de instagram aici) genereaza admiratie











